
觥筹交错间,很少有人会想到自己的胃壁正经历着怎样的“冲刷”。那种“再来一杯也无妨”的侥幸心理,是酒桌上的常态。当身体用剧烈的信号表达抗议时,许多人才会从宿醉的混沌中惊醒,开始后悔前一晚的放纵。这种迟来的清醒,往往伴随着对身体健康的深层忧虑和对失控行为的无奈。我们总以为自己能掌控一切,直到身体发出清晰的警告。

一、看不见的“第一道防线”崩溃
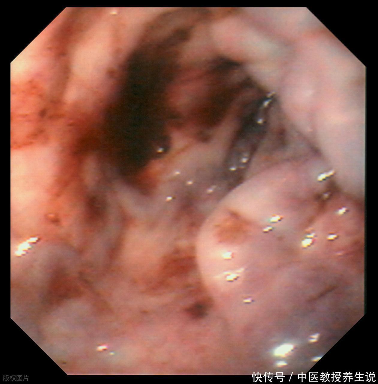
胃部那层厚度不足一毫米的黏膜屏障,本是抵御各种刺激的“第一道防线”。然而,高浓度的酒精,特别是超过百分之四十度的烈酒,可以直接穿透这层防卫。胃黏膜下的血管网络极为丰富,一旦失去屏障的保护,它们就直接暴露在酒精的侵蚀之下。胃酸的二次攻击紧随其后,让原本轻微的损伤,演变成一场棘手的“化学烧伤”,出血性胃炎的序幕由此拉开。

二、三种典型的“求救”信号
贪杯后,胃部可能会用三种方式表达“痛苦”:
灼烧般的胃痛与痉挛。 这并非普通消化不良引起的胀痛,而是一种从胃脘深处升腾起的灼热感,仿佛有热炭在滚动。疼痛发作时,可能伴随一阵阵拧毛巾样的痉挛,让人坐立不安,严重影响情绪与休息。
恶心呕吐与“危险”的呕吐物。 身体为了自我保护,会通过呕吐来排出酒精这类刺激物。此时需要特别留意呕吐物,如果其中混有咖啡色的渣样物质,或是鲜红色的血丝,这说明胃壁上的血管网已经受损出血,是相当明确的警示信号。
延迟出现的柏油样黑便。 如果出血量不大,血液未必会通过呕吐排出,而是会顺着消化道下行。在肠道内,血液会被氧化、分解,最终让粪便呈现出像马路沥青一样的亮黑色。这个信号的出现存在滞后性,容易被忽略或误解。

三、加速损伤的饮酒“催化剂”
空腹状态下饮酒,无异于“引狼入室”,酒精得以长驱直入,直接接触并破坏胃黏膜。将不同种类、不同度数的酒水混合饮用,会加剧肝脏代谢的负担,也让胃部难以适应,损伤风险随之增高。值得注意的是,即使是同等量的酒精,在短时间内快速饮下造成的冲击,远大于分摊在数小时内慢饮。这种“急性冲击”式的饮酒习惯,正是诱发急性出血性胃炎的关键因素之一。

胃壁的损伤并非小事,上述任何一种不适,都是身体在用最后的力气向你求救。硬扛着只会让小问题变成大麻烦。学会倾听身体的语言,适时拒绝那“最后一杯”,是对未来健康最负责任的投资。
永富证券提示:文章来自网络,不代表本站观点。